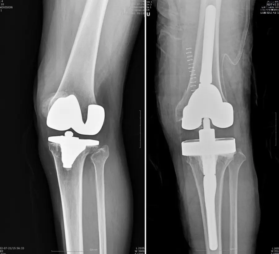
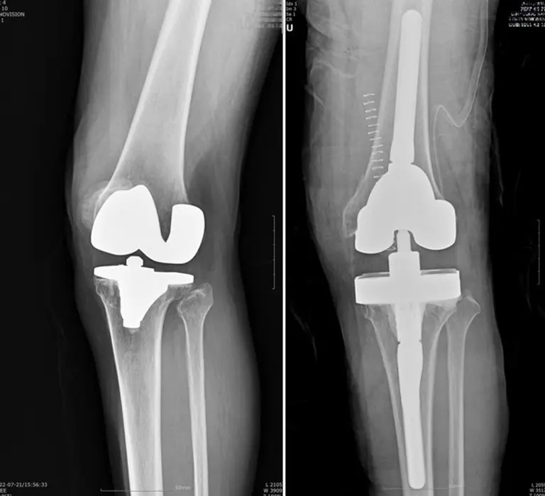
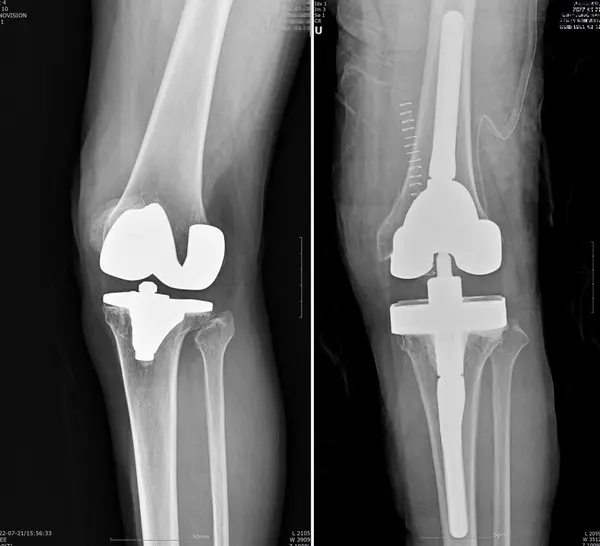
82세 A씨는 퇴행성관절염 말기 무릎 통증으로 16년 전 인공관절 치환술을 받았다. 하지만 빙판길에 넘어지면서 3년 전부터 다시금 통증이 시작됐고, 고심 끝에 병원을 찾은 그는 ‘인공관절 재치환술’을 해야 한다는 진단을 받았다.
그러나 A씨를 반기는 곳을 찾기는 힘들었다. 고령인 데다 기존 인공관절 수술보다 까다로운 재치환술을 선뜻 하겠다는 병원이 없었던 것이다. 다행히 병원을 찾은 A씨는 기존 인공관절은 제거하고 새로운 인공관절을 끼워 넣는 재치환술을 받았으며 수술 나흘 만에 다시 보행을 시작했다.
‘한국형 인공관절’, ‘3D 인공관절 수술’ 등을 통해 인공관절의 수명이 대략 15년에서 최장 25년으로 늘어났지만 의학이 발전하고 100세 시대가 도래하면서 인공관절 재치환술 환자 비율도 꾸준히 증가하고 있다. 이에 많은 정형외과 의사들은 너무 젊은 나이에 인공관절 수술을 하는 것 보다는 가급적 65세~70세 사이에 수술을 받고 평생 한 번만 수술하는 것을 권한다.
인공관절 재치환술은 A씨처럼 외상으로 인해 문제가 생기거나, 인공관절을 오래 써서 닳아 흔들리거나 염증, 감염 등으로 인해 인공관절이 제 기능을 하지 못하고 통증을 유발하는 경우 시행하게 된다.
인공관절 재치환술은 많은 경우 골 소실 및 연부조직 손상을 동반하기 때문에 수술 자체도 까다롭고 처음 수술보다 결과가 좋지 않은 경우도 있다. 또 대부분 80세 이상의 고령 환자가 많아 만성질환 합병증의 위험도 따른다. 실제 보건복지부 지정 관절전문 연세사랑병원의 통계에 따르면 인공관절 재수술을 받은 환자 809명 중 80세 이상이 16%를 차지했다.
고용곤 연세사랑병원장(정형외과 전문의)은 “인공관절 재치환술을 위해 가장 먼저 고려할 것은 임상 경험이 풍부한 의료진을 선택하는 것과 만성 질환에 대비할 수 있는 내과 전문의가 상주하는 병원을 찾는 것"이라며 “인공관절 재치환술은 1차 수술에 비해 까다롭고 시간도 오래 걸리는 수술이다. 의료진의 실력에 따라 천차만별의 결과를 낳기 때문에 의사의 임상 경험이 풍부한지 따져봐야 한다”고 조언했다.
연세사랑병원은 지난 2020년 인공관절 재치환술 센터를 개소하며 무릎 인공관절 수술에 대한 전문성을 더욱 강화하고 있다. 최근에는 제5기 1차년도 전문병원에 지정되며 관절 전문병원으로서의 위상을 다졌다.

댓글 (0)
댓글 작성
댓글을 작성하려면 로그인이 필요합니다.
로그인하기