퇴행성관절염은 65세 이상 노령층에서 흔하게 발생하는 질병이다. 주로 노령층에서 발병하지만 중년 이후부터는 특별한 외상이 없어도 관절이 붓고 아픈 증상이 있다면 의심할 필요가 있다.
일반적으로 관절을 보호하는 연골이 손상되거나, 노화에 따른 퇴행으로 닳아 없어지면서 통증이 나타나며 무릎관절 이외에도 손목·발목·어깨관절 등에서도 증상이 발현될 수 있다.
혈관이 존재하지 않는 연골 부위는 한번 손상이 진행되면 자체적인 재생이 불가능하다. 따라서 퇴행성 관절염 치료는 관절 기능을 최대한 보존하고 증상이 심해지지 않는 것에 중점을 둔다.
초기와 중기에는 약물치료나 주사치료, 도수치료 등으로 통증을 조절하고 줄기세포 치료 등을 병행해 연골 재생을 기대해볼 수 있다. 그러나 보존적 치료만으로 증상이 호전되지 않거나, 연골이 모두 닳아 없어진 말기에 이르러 더 이상의 치료 효과를 보기 어려울 때는 무릎 관절을 교체하는 인공관절수술을 진행하게 된다.
인공관절수술은 손상된 연골을 제거하고 인공관절을 삽입하는 수술이다. 타고난 관절 대신 인공구조물로 관절을 대체한다는 점 때문에 부담을 느끼는 환자들이 있지만, 인공관절 수술은 수술 후 치료 만족도가 높은 편이다. 수술 후 앉고, 걷고, 계단을 오르내리는 일상생활이 편안해지면서 건강한 생활을 되찾을 수 있기 때문이다.
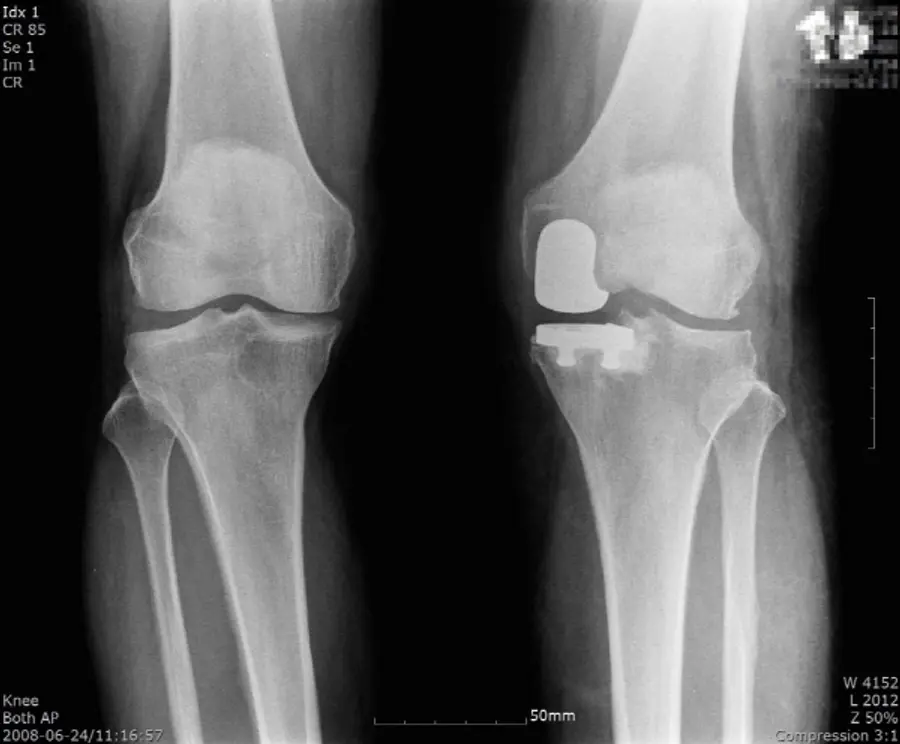
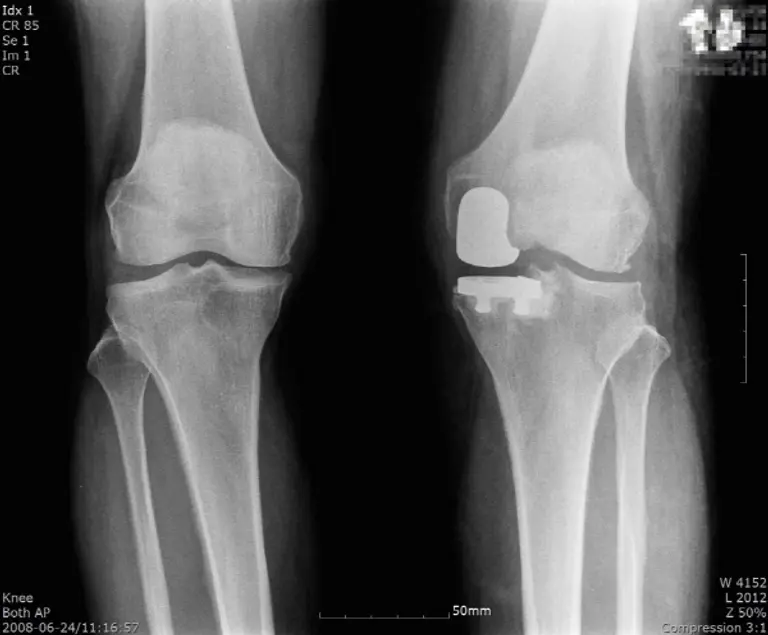
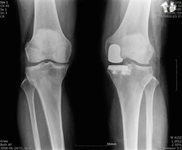
관절 전체가 손상된 경우가 아니라면 관절을 전부 교체하는 전치환술 대신 건강한 관절을 최대한 보존하는 부분 치환술로 치료를 진행할 수 있다. 부분치환술은 관절 기능을 보존할 수 있고, 관절 운동의 각도가 좋은 것이 장점이며 절개와 출혈도 상대적으로 적기 때문에 회복도 빠른 편이다.
다만 부분인공관절 수술은 기존 인공관절 전치환술보다 까다로운 수술로, 무릎 관절을 구조물들의 원래 위치를 파악하고 환자의 관절 기능 향상을 위해 정밀한 검사를 통해 위치를 설정하여 수술이 이뤄져야 한다.
세계적 학술지인 ‘더 니(The Knee)에 게재된 ‘인공슬관절 부분치환술의 생체 역학적 결과에 대퇴골 구조물의 위치가 미치는 영향’ 논문에 따르면 부분치환술 진행 시 구조물 위치에 따라 치료의 결과가 달라질 수 있다.
무릎 관절을 구성하는 구조물들의 위치는 관절의 기능을 결정하는 중요한 역할을 하는데, 대퇴골 중심에서 내측 및 외측으로 각각 3mm, 5mm 이동된 5개 모델을 보행 하중 조건에서 분석하면 대퇴골 끝부분의 중심에 부분인공관절을 삽입할수록 개선 효과가 높아진다.
연세사랑병원 서동석 원장(연세사랑병원 인공관절팀)은 “부분 인공관절 수술은 내측 인대의 기능이 정상이고 무릎 관절의 굴곡이 90도 이상이어야 고려해볼 수 있다. 정밀한 검사를 통해 정확한 인공관절 삽입위치를 확인해야 하므로 의료진의 임상 경험이 매우 중요하다”며 “수술 후에는 인공관절 수명 연장과 관절염 예방을 위해 규칙적인 운동으로 관절 주변 근육을 강화해줄 것을 권장한다”고 조언했다.

댓글 (0)
댓글 작성
댓글을 작성하려면 로그인이 필요합니다.
로그인하기