로그인
회원가입
마이페이지
로그아웃
증권
경제·금융
산업
건설·부동산
사회
글로벌
오피니언
영상
전체기사
증권
시황
주식
ETF
IPO
IB·Deal
VC·PE
경제·금융
은행
증권·WM
보험·카드
제2금융
금융정책
경제·금융일반
산업
기업
중기·벤처
생활·유통
헬스케어
산업일반
ICT
건설·부동산
건설
주택·분양
오피스·상가
부동산정책
부동산일반
부동산시황
사회
정치
이슈
지역
인사·부고·동정
사회일반
글로벌
경제·금융
기업
정치
국제일반
오피니언
기자수첩
데스크칼럼
전문가칼럼
영상
끙~뉴스
디코드
"비급여" 검색 결과
유상증자에도 거침없는 딥노이드, 내년엔 실적 터진다
주주배정 유상증자를 결의한 뒤 주가가 가파르게 상승하면서 2년 전 상장 직후 기록한 최고가의 60% 수준까지 회복한 딥노이드가 내년엔 인공지능 시장을 등에 업고 실적 턴어라운드를 이룰 수 있을 것이란 전망이 나왔다.
김세형 기자
|
2023. 08. 22. 17:31
한미약품, 비만치료자 독자개발·출시 '첫걸음'
한미약품이 전 세계적 트렌드로 자리잡고 있는 GLP-1(Glucagon like peptide-1) 계열의 비만치료제를 독자 기술로 자체 개발해 국내에서 출시하기 위한 첫 걸음을 내디뎠다. 한미약품은 자사의 독자 플랫폼 기술 ‘랩스커버리’를 적용해 일주일에 한번...
김윤진 기자
|
2023. 08. 01. 01:48
'신약을 무료로' 유한양행, 품격이 다른 제약사..목표가↑-한투
한국투자증권은 12일 유한양행의 목표주가를 종전 7만5000원에서 7만9000원으로 5. 3% 상향조정하고 매수 의견을 유지했다. 한투증권은 2분기 매출과 영업이익이 모두 컨센서스에 부합할 것이라며 특히 최근 유한양행의 신약 무료 전략을 호평했다.
김세형 기자
|
2023. 07. 12. 17:30
우리금융, 군 복무 중 입은 트라우마 치료비 지원
우리금융그룹 우리금융미래재단 이 군 복무 중 경험한 트라우마로 고통받는 전·현직 군인과 가족을 위해 우리 히어로 트라우마 치유 지원사업을 시작한다고 29일 밝혔다. 우리 히어로는 타인의 생명이나 신체를 구하기 위해 희생한 우리 사회의 영웅들을 지원하는 사업이다.
최인영 기자
|
2023. 06. 29. 22:32
의료AI 뷰노, 국내 넘어 해외로...단기 주가 급등은 부담-미래
미래에셋증권은 루닛에 이은 제2의 의료AI 뷰노에 대해 국내를 넘어 해외로 진출하면서 다음 성장 단계로 진입하고 있다고 28일 평가했다. 다만, 최근 단기간의 주가 급등은 부담스러운 측면이 있다고 덧붙였다.
김세형 기자
|
2023. 06. 28. 17:47
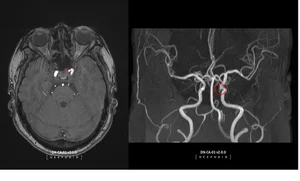
제이엘케이, 뇌졸중 분석 솔루션 도입 국내 병원 70곳 돌파
의료AI 제이엘케이는 자사의 뇌졸중 분석 솔루션을 도입한 국내 병원이 71곳을 돌파했다고 22일 밝혔다. 올해 3월부터 본격적인 영업 활동을 시작한 지 3개월만에 달성한 성과라고 덧붙였다.
김세형 기자
|
2023. 06. 22. 18:47
뷰노, 심정지 예측기기 뷰노메드 딥카스 美 혁신의료기기 지정
의료인공지능 기업 뷰노 는 자사의 인공지능 기반 심정지 예측 의료기기 '뷰노메드 딥카스™(VUNO Med®–DeepCARS™)'가 국내 의료AI 업계 최초로 미국 식품의약국 으로부터 혁신의료기기로 지정됐다고 8일 밝혔다.
김세형 기자
|
2023. 06. 08. 18:07
스투/포커스
"스마트 코리아" 대전환 여정과 성과...④포용적 스마트복지
포용적 복지. '포용'이라는 단어는 아직 익숙하지 않지만 우리 사회 곳곳에서 실행되고 있다. 누군가 소외, 배척당하지 않고 다함께 한다는 의미일 것이다. 국가가 책임져야 할 국민들의 복지 측면에서 그리 하는 것을 의미할 것이다.
지혁민 기자
|
2022. 01. 14. 06:35
이전
1
2
3
4
많이 본 뉴스
1
현대건설, 마천4구역 공사비 "2900억 더 달라"...평당 공사비 '1천 만원 시대'
2
“140일째 허가 안 내줘”… 용산구청 ‘늑장’에 신동아건설 서빙고역세권 개발 '올스톱'
3
박윤영 KT 신임 대표 인사·조직개편 단행... 임원급 30% 축소, 지역본부 7개→4개 통합
4
삼성운용 줄었는데 삼성액티브는 늘었다…희비 갈린 3월 ETF 총보수 성적표 [ETF 리그테이블]
5
대한항공·아시아나 통합 막바지…양 사 '화학적 결합' 가능한가
당신을 위한 PICK
오성진 UC버클리 교수·조수미 소프라노 등 호암재단, 올해 호암상 수상자 6명 선정
HD현대 배당성향 70% 약속 지켰다..정기주총서 각사 리스크 전담팀 구성
박윤영 KT 신임 대표 인사·조직개편 단행... 임원급 30% 축소, 지역본부 7개→4개 통합
삼천당제약 "주가조작 주장 블로거 법적 조치"..주가 하한가
정부, 26.2조 규모 '중동전쟁 추경' 편성... 소득하위 70% 3580만명에 10만~60만원씩 지급
대한항공, 고유가 장기화에 ‘비상경영’ 선포
'박윤영의 KT' 닻 올렸다...조직·인적 쇄신 기대
포토·영상
의정부 역세권 47층 복합단지… IPARK현대산업개발, 의정부역 센트럴 아이파크 분양
4월 둘째주 2618가구 청약… 봄 분양시장 본격 개막
희망브리지-시민구조봉사단, 재난 대응 협력 강화 업무협약 체결
'하루 더 긴 주말' 트럼프 "이란 파괴 아직 시작도 안해…다음은 다리와 발전소"
언어 선택
ASIAN
한국어