주주배정 유상증자를 결의한 뒤 주가가 가파르게 상승하면서 2년 전 상장 직후 기록한 최고가의 60% 수준까지 회복한 딥노이드가 내년엔 인공지능(AI) 시장을 등에 업고 실적 턴어라운드를 이룰 수 있을 것이란 전망이 나왔다.
하나투자증권은 22일 딥노이드가 AI 시장 개화에 따라 본격 리레이팅 구간에 돌입할 것이라며 특히 내년엔 의료 AI 솔루션과 산업용 AI 솔루션 매출이 본격화하면서 실적이 턴어라운드할 것이라고 내다봤다.
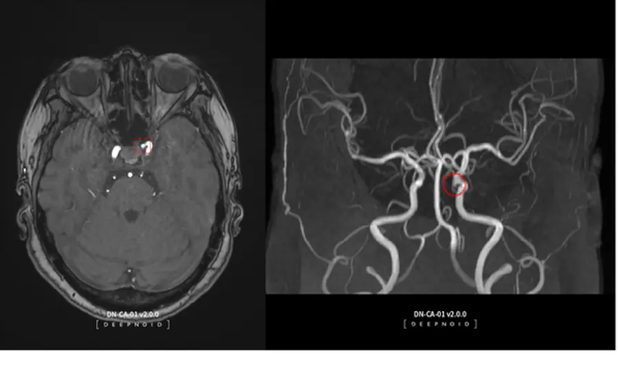
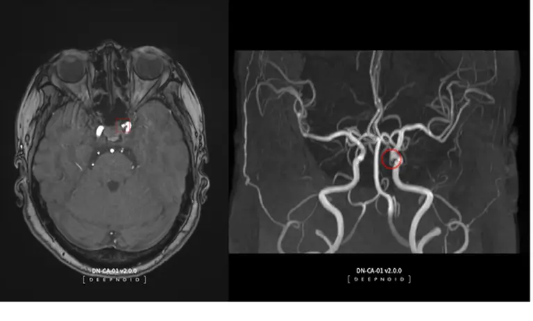
조정현 하나증권 연구원은 "딥노이드는 2008년 설립된 국내 1세대 AI 개발 전문 업체로, 사업군은 크게 의료 AI와 산업 AI로 분류된다"며 "뇌동맥류 AI 영상 판독 솔루션인 딥뉴로(DEEP:NEURO)와 딥러닝 기반 머신비전 솔루션인 딥팩토리(DEEP:FACTORY)를 주력 제품으로 보유하고 있다"고 소개했다.
이어 "딥노이드는 딥뉴로의 비급여 적용을 통한 의료 AI 매출 본격화에 따라 내년부터 폭발적인 성장이 예상된다"며 "연내 딥팩토리의 글로벌 톱티어(top-tier) 2차전지 신규 고객사 향 수주 확대에 따라 2차전지 시장 가치가 더해질 것"이라고 기대했다.
그는 그러면서 "의료 AI 동종업체인 뷰노, 제이엘케이의 평균 시가총액 4500억원과 산업 AI의 딥러닝 개발 기술을 가진 직접 경쟁사 수아랩의 기업가치(코그넥스의 인수금액 2,300억원)을 고려했을 때 가장 저평가된 AI 기업"이라고 판단했다.
딥노이드는 지난 2021년 8월 공모가 2만1000원(100% 무상증자 반영 기준)에 코스닥 시장에 상장했다. 상장 직후 한 때 3만9000원까지 치솟았다. 지난 7월 중순 이후 주가가 상승하면서 21일 2만3000원으로 거래를 마쳤다. 최고가의 60% 수준이다.
특히 딥노이드는 지난 7월21일 주당 0.1601812140주 비율, 예정발행가 기준 180억원 가까운 주주배정 유상증자를 결의했다. 통상 주가 희석 요인 발생으로 인식되지만 딥노이드 주가는 증자 결의에도 상승세를 탔다. 1만2000원대에 있던 주가가 2만원 위로 올라섰다.
최초 유상증자 결의시 배정기준일은 8월9일이었으나 한 차례 연기돼 9월4일을 배정기준일로 증자가 진행된다. 58억원 시설자금으로, 120억원을 R&D를 포함한 운영자금으로 사용한다.
조 연구원은 "지난 7월 발표한 유상증자 자금 대부분이 자사 솔루션인 딥팩토링 고도화를 위한 영상 데이터 확보 및 R&D에 사용되는 만큼 산업용 AI 솔루션 사업이 본격화될 것"이라며 "딥노이드에게 2024년은 딥뉴로과 딥팩토리 솔루션 매출 본격화의 원년으로 매출 150억원의 실적 턴어라운드가 가능할 것"이라고 기대했다.

댓글 (0)
댓글 작성
댓글을 작성하려면 로그인이 필요합니다.
로그인하기