로그인
회원가입
마이페이지
로그아웃
증권
경제·금융
산업
건설·부동산
사회
글로벌
오피니언
영상
전체기사
증권
시황
주식
ETF
IPO
IB·Deal
VC·PE
경제·금융
은행
증권·WM
보험·카드
제2금융
금융정책
경제·금융일반
산업
기업
중기·벤처
생활·유통
헬스케어
산업일반
ICT
건설·부동산
건설
주택·분양
오피스·상가
부동산정책
부동산일반
부동산시황
사회
정치
이슈
지역
인사·부고·동정
사회일반
글로벌
경제·금융
기업
정치
국제일반
오피니언
기자수첩
데스크칼럼
전문가칼럼
영상
끙~뉴스
디코드
"인공관절" 검색 결과
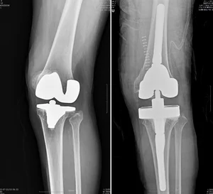
한국인 데이터로 만든 인공관절, 美 FDA 승인
보건복지부 지정 관절 전문 연세사랑병원 은 의료기기 전문 벤처기업과 함께 PNK 인공관절이 미국 FDA 승인을 받았다고 18일 밝혔다. PNK 인공관절은 한국인 1만2305명 데이터를 바탕으로 제작됐다.
이재수 기자
|
2024. 03. 19. 24:05
‘만성염증’ 퇴행성관절염, 말기에는 ‘한국형 인공관절’로 개선
염증은 특정 부위의 손상이나 감염이 진행됐을 경우 이에 대한 손상을 줄이고 정상화하려는 우리 몸의 방어 반응이다. 면역세포를 이용해 해당 조직의 손상을 최소화하고 감염체를 제거 또는 막는 역할을 한다. 문제는 특정 부위에 염증이 지속되면서 발생하는 만성염증이다.
이은형 기자
|
2024. 03. 01. 24:36
인공관절 재수술, 경험 많은 의료진이 결과 좌우
82세 A씨는 퇴행성관절염 말기 무릎 통증으로 16년 전 인공관절 치환술을 받았다. 하지만 빙판길에 넘어지면서 3년 전부터 다시금 통증이 시작됐고, 고심 끝에 병원을 찾은 그는 ‘인공관절 재치환술’을 해야 한다는 진단을 받았다.
이은형 기자
|
2024. 02. 24. 02:12
한국형 인공관절, 움직임·이물감 없는 사용감으로 환자 치료 적용
무릎 연골은 일상생활 중 다양한 역할을 담당하는 신체 기관으로 반복적인 노출에 따라 손상되기 쉽다. 연골이 마모되기 시작하면 가벼운 아픔을 시작으로 강한 통증을 호소하기 쉬운데 초, 중기 증상에 따라 적용되는 치료는 매우 상이하다.
이은형 기자
|
2024. 02. 16. 24:10
고주파 열 치료술, 인공관절 수술 후 통증 개선 도와
무릎 관절의 통증을 방치하면 활동량이 줄어들면서 자연스레 건강 관리가 힘들어지는 악순환이 발생한다. 무릎은 한 번 손상되면 재생이 어렵기에 관절염 혹은 연골 손상이 심해지기 전 치료와 관리가 필요하다. 대표적인 무릎 질환 중 하나는 ‘퇴행성관절염’이다.
김윤진 기자
|
2024. 01. 25. 20:00
스카이브·연세사랑병원 개발 ‘인공관절 수술기구’ 신의료기술 신청
기술혁신형 이노비즈(Inno-Biz) 벤처기업 스카이브는 연세사랑병원과 공동 개발한 인공관절 수술기구 제품에 대한 신의료기술 신청을 완료했다고 12일 밝혔다. PSI(Patient Specific Instrument)는 연세사랑병원이 수술 전 단계에서부터 3D...
김윤진 기자
|
2024. 01. 12. 20:35
인공관절 대신하려면 ‘줄기세포’에 이것 더해야
휜다리는 무릎의 건강상태와 걸음걸이, 생활습관, 연령에 따라 ▲내반슬 ▲외반슬 ▲반장슬 등으로 구분되며, 좌식생활이 익숙한 한국인에게는 서 있을 때 양 무릎이 닿지 않고 벌어져 있어 다리가 밖으로 휘어져 있는 내반슬이 주로 해당된다.
이은형 기자
|
2023. 12. 08. 24:23
연세사랑병원, ‘PNK 인공관절’ 식약처 허가 획득
연세사랑병원은 후방십자인대를 보존하는 한국형 인공관절 CR타입을 개발, 식품의약품안전처 허가를 받았다고 1일 밝혔다. 현재는 FDA의 승인 절차를 밟고 있어 코렌텍에 이은 국산 인공관절의 성공적인 해외 진출에 대한 기대가 모인다.
김윤진 기자
|
2023. 12. 01. 20:40
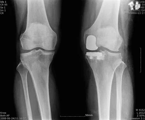
'인공관절' 부담스럽다면 '부분치환' 권장
무릎 퇴행성관절염은 무릎 관절이 노화하고 퇴화하며 염증이 생긴 상태다. 이에 앉을 때, 계단을 오르내릴 때 등 일상생활에서 통증으로 많은 어려움을 초래하게 된다. 퇴행성관절염 초기에는 약물 등 보존적 치료로 호전을 기대할 수 있지만 차도가 없다면 인공관절 수술을...
김윤진 기자
|
2023. 11. 14. 19:48
코렌텍, 멕시코에 1000만 달러 인공관절 공급
국내 인공관절 선두기업 코렌텍은 멕시코의 의료기기 업체 바이오토텍 과 약 1000만 달러(약 132억 원) 규모의 제품 공급 계약을 체결했다고 20일 밝혔다. 코렌텍은 오는 2025년까지 3년 간 멕시코 현지 대리점 바이오토텍에 인공고관절 제품 '벤콕스 '과...
김세형 기자
|
2023. 03. 20. 19:28
이전
1
2
3
4
다음
많이 본 뉴스
1
'헬로우봇' 창업자 이수지, 20년 선배 이재웅 사단과 손잡고 자기 작품 되찾는다
2
성수4지구 갈등 과열...조합 손배청구에 대우 “법적대응 검토” [정비사업 디코드]
3
증권사 연봉킹 89억 메리츠 PB
4
삼천당, 주가 급락에 대표 매도 계획분 가치 2500억→2000억원 축소
5
[SK하이닉스 ADR] ③LG디스플레이의 교훈, SK는 'HBM 초격차'로 넘는다
당신을 위한 PICK
현대건설, 마천4구역 공사비 "2900억 더 달라"...평당 공사비 '1천 만원 시대'
제주은행, 'DJ뱅크' 공개..ERP뱅킹 개시
구광모 LG 대표, 美·브라질 현장 경영…‘AI 에너지·글로벌 사우스’ 미래 선점 박차
미래에셋증권, 신탁형 ISA 신규 중단..중개형 ISA에 집중
부동산 규제 속 서울은 '청약불패'…분양시장 양극화 심화, 강남 1000대 1 vs 지방 미달
"연 5조 지원" 전남광주통합특별시 출범...첨단산업단지·주거 유입 기대
삼천당, 주가 급락에 대표 매도 계획분 가치 2500억→2000억원 축소
포토·영상
“역과 단지 직결”…대방건설, 양주시와 '옥정중앙역 디에트르' 연결통로 협약 체결
"KRX, 권한없이 금시장 개방 추진..국내 금정련산업 붕괴"
하나은행, CU편의점서 예금 토큰 결제 실증
현대엘리베이터, ‘2026 컴플라이언스 슬로건 공모전' 진행
언어 선택
ASIAN
한국어