무릎 퇴행성관절염은 무릎 관절이 노화하고 퇴화하며 염증이 생긴 상태다. 이에 앉을 때, 계단을 오르내릴 때 등 일상생활에서 통증으로 많은 어려움을 초래하게 된다.
퇴행성관절염 초기에는 약물 등 보존적 치료로 호전을 기대할 수 있지만 차도가 없다면 인공관절 수술을 고려해야 한다.
인공관절 수술은 60여년에 걸친 지속적인 발전으로 성공률과 정확도과 향상된 수술이자 앉고, 걷는 등 기본적인 일상생활로 복귀할 수 있기 때문에 환자들의 만족도가 높은 편이다.
그러나 연골을 제거하고 인공 구조물로 무릎 관절을 완전히 대체하는 것에 부담을 느끼는 이도 적지 않다.
건강보험심사평가원의 2021년 통계에 따르면 무릎 퇴행성관절염 환자 중 30~50대가 전체 환자 중 24.5%를 기록했다.
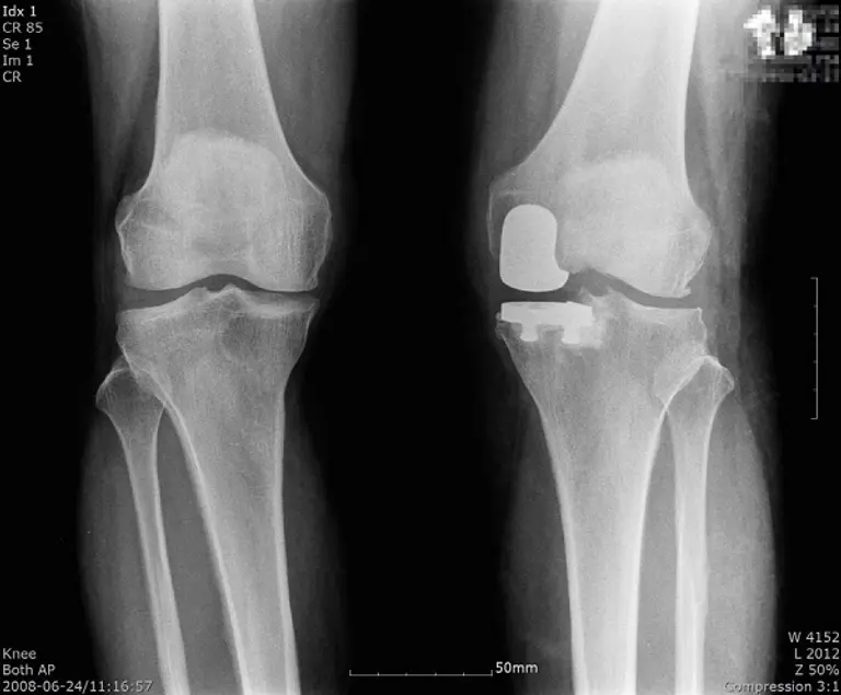
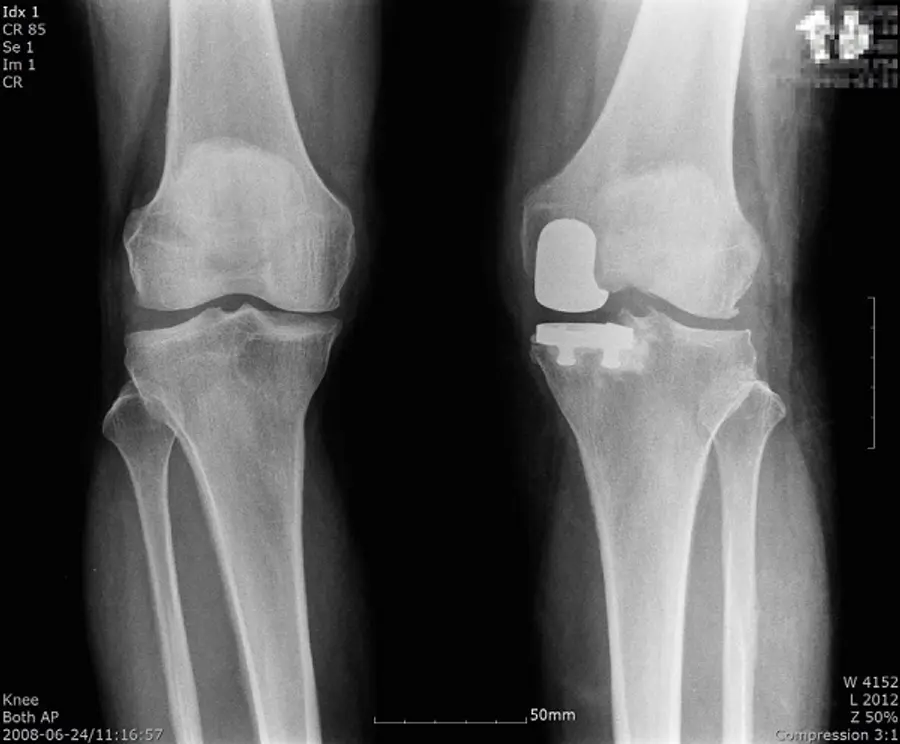
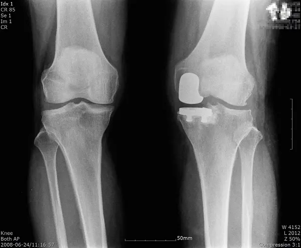
비교적 젊은 환자의 경우 관절을 최대한 보존하는 치료법을 고려해야 하는데, 무릎 관절의 일부만 절삭해 부분적으로 인공관절로 교체하는 ‘부분치환술’이나 절골술 등을 고려할 수 있다.
인공관절 부분치환술은 말 그대로 건강한 부분을 최대한 보존하는 방식이다. 건강한 관절을 제거하지 않고 살리기 때문에 기능을 보존할 수 있고, 관절 운동의 각도가 좋다는 장점이 있다.
또한 인공관절 전치환술에 비해 절개와 출혈이 적은 편이기 때문에 일상으로의 회복이 빠른 편이다. 전치환술의 경우 십자인대까지 제거해야 하는데 이 경우 균형감각, 평형 감각 등의 기능이 떨어져 계단을 오르내리는 등 감각을 유지하기 쉽지 않다는 것이 단점으로 꼽힌다. 그러나 부분치환술은 십자인대를 보존하기 때문에 평형감각을 유지할 수 있다.
다만 부분치환술을 할 수 있는 조건은 다소 까다롭다. 내측 인대의 기능이 정상이고 무릎 관절의 굴곡이 90도 이상인 환자만 고려해볼 수 있기 때문이다.
치료 시에는 무릎 관절 구조물의 원래 위치를 정확히 파악해야 하고, 환자의 관절 기능 향상을 위해 정밀한 검사를 통해 위치를 설정하는 것이 필요하다.
까다로움 때문에 부분치환술을 기피하는 환자들도 생겼다. 부분치환술을 할 바에는 무릎 전체를 교체하는 전치환술을 하는 의료진도 있었기 때문이다.
그러나 최근에는 ‘3D 시뮬레이션 맞춤형 부분치환술’을 통해 이런 어려움을 극복하고 있다. 의료진과 공학 엔지니어가 협업해 탄생한 3D 시뮬레이선 맞춤형 부분치환술은 기존 부분치환술의 한계를 극복한 것으로 알려져 있다.
해당 수술은 MRI를 통해 환자의 무릎을 정확히 파악하고, 검사 데이터를 바탕으로 3D 시뮬레이션으로 무릎을 구현해 가상의 수술을 진행할 수 있다.
가상 수술을 통해 부분 인공관절이 삽입될 위치를 정확히 계산하고, 3D 시뮬레이션 프로그램으로 오차범위를 최소화해 수술을 진행하면 반대편 무릎에 가해지는 하중을 줄여 무릎의 부담을 줄이고 인공관절 수명의 연장을 기대할 수 있다. 여기에 수술 후 만족도도 올라간다.
고용곤 연세사랑병원 병원장(정형외과 전문의)은 “인공관절 부분치환술은 자기 관절의 일부를 보존할 수 있다는 점에서 매우 좋은 수술”이라면서도 “다만 수술 과정이 어려워 집도하는 의료진의 풍부한 임상 경험이 요구된다”고 말했다.
또 “수술 후에는 인공관절 수명 연장과 관절염 예방을 위해 규칙적인 운동으로 관절 주변 근육을 강화해줄 필요가 있다”고 조언했다.

댓글 (0)
댓글 작성
댓글을 작성하려면 로그인이 필요합니다.
로그인하기