로그인
회원가입
마이페이지
로그아웃
증권
금융
산업
건설·부동산
사회
글로벌
오피니언
영상
전체기사
증권
시황
주식
ETF
IPO
IB·Deal
VC·PE
금융
은행
증권·WM
보험·카드
제2금융
금융정책
경제·금융일반
산업
기업
모빌리티
조선·해양·방위산업
에너지
ICT
ESG
생활·유통
중기·벤처
헬스케어
산업일반
건설·부동산
건설
주택·분양
오피스·상가
부동산정책
부동산일반
부동산시황
사회
정치
이슈
서울·수도권
지역
사회일반
글로벌
경제·금융
기업
정치
국제일반
오피니언
기자수첩
데스크칼럼
전문가칼럼
인사·부고·동정
영상
디코드
"연세사랑병원" 검색 결과
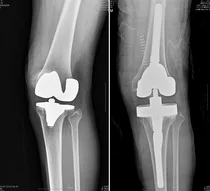
연세사랑병원, ‘PNK 인공관절’ 식약처 허가 획득
연세사랑병원은 후방십자인대를 보존하는 한국형 인공관절 CR타입을 개발, 식품의약품안전처 허가를 받았다고 1일 밝혔다. 현재는 FDA의 승인 절차를 밟고 있어 코렌텍에 이은 국산 인공관절의 성공적인 해외 진출에 대한 기대가 모인다. 앞서 연세사랑병원 인공관절 ...
김윤진 기자
|
2023. 12. 01. 20:40
연세사랑병원, 개원 20주년 맞아 서비스 향상 위해 확장 이전
연세사랑병원이 개원 20주년을 맞아 의료서비스와 환자 편의성 향상 등을 위해 확장 이전한다고 30일 밝혔다. 기존 본관에는 척추, 마취통증, 무릎관절, 어깨상지센터 등과 내과, 비수술센터, 원무과가 있고 신관에는 입원동과 수술실이 위치해 따로 운영됐다. 하지...
김윤진 기자
|
2023. 08. 29. 19:49
연세사랑병원, 카자흐스탄 국립정형외과 병원장 방문행사 진행
연세사랑병원은 최근 카자흐스탄 카작 국립정형외과 병원장 베카리소프 사파르갈리에비치가 병원 방문행사를 진행했다고 23일 밝혔다. 베카리소프 병원장은 연세사랑병원을 찾아 무릎관절센터 서동석 원장(정형외과 전문의)과 만나 함께 병원 시설을 둘러봤다. 연세사랑병원 서동석 원장...
최인영 기자
|
2023. 07. 22. 00:11
아·태 최고병원에 세브란스 등 국내 빅4 상위권 포진
세브란스병원 등 국내 의료 기관들이 미국 뉴스위크가 선정한 ‘2024 아시아·태평양 베스트 전문병원’에서 상위권을 휩쓸어 세계 속 한국 의술의 위상을 더욱 높였다. 11일 의료계에 따르면 최근 미국 시사주간지 뉴스...
이은형 기자
|
2024. 06. 11. 19:35
한국형 인공관절 수술 후, 간호간병 통합서비스로 환자 부담 줄일 수 있어
퇴행성관절염은 뼈와 뼈 사이에서 하중 부담과 완충 역할을 하는 연골이 노화나 과도한 사용으로 인해 닳아 염증과 통증이 발생하는 질환이다. 고령화 사회에서 흔히 발생하는 질환 중 하나로 초기 치료가 중요하다. 하지만 초기에는 경미한 무릎 통증으로 휴식을 취하면 증상이 개...
이은형 기자
|
2024. 06. 01. 01:20
인공관절 수술 후 회복 집중 위해선?
퇴행성관절염은 뼈와 뼈 사이에서 하중 부담과 완충 역할을 하는 연골이 노화나 과도한 사용으로 인해 닳아 염증과 통증이 발생하는 질환이다. 고령화 사회에서 흔히 발생하는 질환 중 하나로 초기 치료가 중요하지만 초기에는 경미한 무릎 통증으로 휴식을 취하면 증상이 개선돼 알...
이은형 기자
|
2024. 04. 26. 23:22
쪼그려 앉는 자세가 통증 유발...‘한국형 인공관절’ 치료
농사를 업으로 삼는 사람부터 취미로 텃밭을 가꾸는 사람까지 봄은 신선한 작물을 직접 키우는 이들에게 중요한 시기다. 다만, 밭일이나 나물을 채취하는 작업은 오랫동안 같은 자세로 무릎을 쪼그려 앉거나 허리를 구부려서 근골격계에 무리를 주는데 이에 따른 대표적인 질환이 &...
김윤진 기자
|
2024. 03. 19. 20:11
‘만성염증’ 퇴행성관절염, 말기에는 ‘한국형 인공관절’로 개선
염증은 특정 부위의 손상이나 감염이 진행됐을 경우 이에 대한 손상을 줄이고 정상화하려는 우리 몸의 방어 반응이다. 면역세포를 이용해 해당 조직의 손상을 최소화하고 감염체를 제거 또는 막는 역할을 한다. 문제는 특정 부위에 염증이 지속되면서 발생하는 만성염증이다. 만성염...
이은형 기자
|
2024. 03. 01. 00:36
인공관절 재수술, 경험 많은 의료진이 결과 좌우
82세 A씨는 퇴행성관절염 말기 무릎 통증으로 16년 전 인공관절 치환술을 받았다. 하지만 빙판길에 넘어지면서 3년 전부터 다시금 통증이 시작됐고, 고심 끝에 병원을 찾은 그는 ‘인공관절 재치환술’을 해야 한다는 진단을 받았다. 그러나 A씨를 반기...
이은형 기자
|
2024. 02. 24. 02:12
한국형 인공관절, 움직임·이물감 없는 사용감으로 환자 치료 적용
무릎 연골은 일상생활 중 다양한 역할을 담당하는 신체 기관으로 반복적인 노출에 따라 손상되기 쉽다. 연골이 마모되기 시작하면 가벼운 아픔을 시작으로 강한 통증을 호소하기 쉬운데 초, 중기 증상에 따라 적용되는 치료는 매우 상이하다. 연골의 양이 적게 훼손된 상황이라면 ...
이은형 기자
|
2024. 02. 16. 00:10
이전
1
2
3
다음
많이 본 뉴스
1
[페니트리움바이오 유증] ④200억 증발 현실로 성큼…유안타증권·개미 도미노 위험
2
상대원2구역 조합-비대위 갈등 심화...22일 ‘조합장 해임총회’
3
서진시스템, 전동규 대표 1700억원 주식 매각 예고
4
실리콘투, 메디큐브로 유럽 확장..편집숍 '모이다' 줄줄이 오픈
5
[흑백공모주] 엔비디아·테슬라에 고객사까지 경쟁자, 스트라드비젼에 남은 공간은
당신을 위한 PICK
삼성 노사, 파업 가처분 결정문 해석 두고도 대치
한솔케미칼, 600억원 자사주 매입 소각키로
법원, 삼성노조 위법쟁의 가처분 일부 인용…"인력 평시 수준 유지"
신한투자증권, ‘책무이행지침서’ 사내 발간.."바른 금융 실천"
영원무역홀딩스, 1분기 영업이익 1578억…OEM 회복에 수익성 개선
주식모으기 시작..국내는 반도체·해외는 지수 ETF
[하나금융 두나무 1조딜] ④'IPO 리스크 헤지' 카카오인베, 1조 선제 회수
머니 디코드
삼성전자 57조원 이익은 '글로벌 Top 5' 수준... 남은영 팀장 "전쟁 공포 아닌 숫자에 직면할 때"
언어 선택
ASIAN
한국어